Votre patiente aujourd’hui est Mei-Yin, une femme asiatique de 55 ans qui est vue pour une prophylaxie de routine. Elle a besoin de radiographies et, après avoir évalué les images, vous êtes préoccupé par la zone apicale radiotransparente sur le n° 24. Elle prend actuellement des médicaments contre le reflux acide et utilise occasionnellement de l’ibuprofène pour des douleurs articulaires. Elle prend également du Zyrtec (10 mg. qd) pour les allergies saisonnières.
Mei-Yin déclare qu’elle n’a pas de douleur liée à ses dents. Elle a une certaine perte osseuse parodontale et du tartre, mais elle est autrement très saine. On note une certaine mobilité des dents mandibulaires et aucune lymphadénopathie n’est évidente. Elle ne se souvient d’aucun traumatisme antérieur dans cette zone de la bouche. Vous lui expliquez que la préoccupation est la zone dans la région apicale de sa dent mandibulaire et vous lui montrez la zone concernée sur la radiographie. La palpation de la zone est cruciale, ainsi qu’un examen buccal approfondi et un dépistage du cancer.
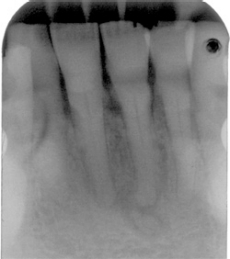
Les zones radiotransparentes indiquent généralement qu’une infection est présente ou qu’il peut y avoir un kyste ou éventuellement une

Figure 1 : Avec l’aimable autorisation du Dr Takashi Komabayashi
tumeur en développement. Le clinicien doit prendre une décision concernant la gravité de la lésion observée. Essentiellement, pendant la phase de développement, la lésion peut ressembler davantage à un kyste. Pendant le stade de calcification, la lésion peut apparaître davantage comme une tumeur selon le degré de calcification.
La dysplasie cémento-osseuse (DCO) est une affection bénigne asymptomatique dont l’étiologie ou la pathogénie est inconnue.
- Il existe trois types de dysplasie cémento-osseuse qui ont été documentés :
- Dysplasie cémento-osseuse périapicale (survenant dans la région antérieure de la mandibule).
- Dysplasie cémento-osseuse focale (survenant dans des zones autres que la région apicale et une propension pour la région postérieure de la mandibule).
- Dysplasie cémento-osseuse floride (peut être confondue avec un simple kyste osseux). Ce type doit être différencié de la maladie de Paget, de l’ostéomyélite diffuse chronique et du syndrome de Gardner.
Ces trois types sont asymptomatiques, et le patient ne sait généralement pas que des changements sont survenus jusqu’à ce qu’un examen radiographique amène le clinicien à s’inquiéter. Cependant, selon l’avancement de la lésion, des signes cliniques peuvent également être présents. Bien que l’étiologie ne soit pas connue, on pense qu’il s’agit d’un processus réactif qui n’est pas contagieux et qui est considéré comme bénin. Cependant, d’autres maladies plus graves doivent être exclues. La DCO se produit principalement chez les personnes de plus de 40 ans, généralement d’âge moyen, principalement des femmes (Melrose, 1975), et elle a été signalée chez les Noirs, les Asiatiques, ainsi que les Caucasiens. L’entité était auparavant désignée dans la littérature comme le cémentome.
Dans les cas de dysplasie cémento-osseuse, une confusion peut survenir lorsque le clinicien pense que la dent peut nécessiter un traitement de canal ou une extraction sur la base de l’aspect radiographique. Trois variations peuvent se produire dans l’apparence clinique (Komabayashi et Zhu, 2011) telles que :
- Stade précoce (radiotransparence sans inclusion de radiopacité)
- Stade mixte (radiotransparence avec inclusion de radiopacité)
- Stade mature (radiopacité). Ce stade est plus radio-opaque, mais, comme vous pouvez l’imaginer, le degré des apparences radiotransparentes et radio-opaques peut varier considérablement.
Généralement, on soupçonne un état pathologique si une zone radiotransparente mixte ou une lésion opaque est présente. Une investigation diagnostique comprendrait des tests de percussion, de palpation, des tests au froid (glace) et un test pulpaire électrique. La dysplasie cémento-ossifiante périapicale se présenterait avec une pulpe vitale.
Le diagnostic différentiel de ces lésions inclurait l’odontome, le fibrome cémento-ossifiant, l’hypercementose, le cémentoblastome et le fibrome ossifiant.
Les apparences cliniques, les implications sur la santé, l’ethnicité et l’âge seraient des facteurs que le praticien prendrait en considération dans un diagnostic. Le facteur clé impliquant la dysplasie cémento-osseuse périapicale est le test pulpaire. La dent sera testée vitale.

Figure 2 : Dysplasie périapicale cémento-osseuse progressive sur une période de 23 ans. Jacoway J. Tiré de » General and Oral Pathology for the Dental Hygienist « , Lippincott, Williams & Wilkins, Baltimore 2008. Chapitre 20.
Une lésion inflammatoire périapicale peut être diagnostiquée si des tests pulpaires ne sont pas effectués et si un bilan diagnostique n’est pas réalisé dans le cadre du plan de traitement. Le patient peut être orienté vers un traitement endodontique (canal radiculaire) alors que ce n’est pas nécessaire.
Souvent, la dysplasie cémento-osseuse périapicale peut être suivie lorsque le patient est vu périodiquement sur une longue période. La deuxième image présentée ici s’est produite sur une période de 23 ans avec observation (voir figure 2).
N’oubliez pas de continuer à poser de bonnes questions et de toujours écouter vos patients.
Alsufyani NA, Lam EWN. Dysplasie osseuse (cémento-osseuse) des mâchoires : Analyse clinique et radiographique. J Can Dent Assoc 2011 ; 77:b70.
DeLong L, Burkhart NW. Pathologie générale et orale pour l’hygiéniste dentaire. Lippincott, Williams & Wilkins. Baltimore. 2008.
Kim JH, Song BC, Kim SH, Park YS. Résultats cliniques, radiographiques et histologiques de la dysplasie cémento-osseuse floride : un rapport de cas. Imaging Sci Dent.2011 ; 41 : 139-142.
Kombayashi T, Zhu Q. Dysplasie cémento-osseuse chez un homme asiatique âgé : un rapport de cas. J Oral Science 2011 ; 53(1):117-120.
Melrose RJ, Abrams AM, Mills BG. Dysplasie osseuse floride. Une étude clinico-pathologique de trente-quatre cas. Oral Surg Oral Med Oral Pathol 1976;41(1) : 62-82.

Nancy W. Burkhart, BSDH, EdD, est professeur associé adjoint dans le département de parodontie, Baylor College of Dentistry et le Texas A & M Health Science Center, Dallas. Le Dr Burkhart est fondatrice et co-animatrice de l’International Oral Lichen Planus Support Group (http://bcdwp.web.tamhsc.edu/iolpdallas/) et co-auteur de General and Oral Pathology for the Dental Hygienist. Elle a remporté le prix Crest/ADHA 2006. Son site Web pour les séminaires est www.nancywburkhart. com.
Past RDH Issues